Linet är en av våra äldsta grödor och har följt människan i tusentals år. Här kan du titta på Västernorrlands lilla linskola, läsa mer om växten och testa dina kunskaper med vårt quiz.

Linet
Lin tillhör växtfamiljen Linum. I världen finns över 170 olika arter och det är stor variation mellan arterna. Det finns fleråriga, tvååriga, lågväxande, vilda och olikfärgade. I Sverige finns det en vildväxande blomma som tillhör linsläktet: Vildlin – en liten ört som trivs på fuktiga ängar. Vildlinet blir ca 15 cm hög och har små vita blommor.
Oljelin och spånadslin – Vad är skillnaden?
Det lin vi odlar i projektet heter på latin Linum usitatissimum, vilket betyder ”det högst nyttiga linet”. Det finns två olika sorter av detta lin, nämligen oljelin och spånadslin.
Oljelinet är kortvuxet och har många förgreningar. Det är för att det ska bli många frökapslar så att det blir mycket frö att pressa olja ur. Fröna är också större än på spånadslin. Fibrerna passar dåligt att göra tråd av. Oljan från linfröet har använts i långa tider, t ex till färgtillverkning och impregnering. Fiskarnas kläder gjordes förr regntäta genom impregnering med linolja.

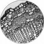
Linfiber i genomskärning
Spånad betyder spinna. Spånadslinet ger alltså ett lin som passar bra att göra tråd av. Långa fina stjälkar med få förgreningar ger långa fina fibrer att spinna av. Linberedning handlar om att i olika steg bereda växten så att de långa spinnbara fibrerna inuti stjälken friläggs.
Liten Linskola
Hemslöjdskonsulenterna i Västernorrland har anordnat en linskola med Lisbeth Vestin för projektets deltagare i länet. Lisbeth började odla lin 1981 och blev ”fast från första stund”. Hon arbetar både traditionellt och experimentellt med linfibrer. Hon har varit en av de drivande krafterna i Ångermanlands linförening och Brynge kulturområde sedan 2005.
Lisbeth Vestin har hållit tre föredrag med frågor & svar om lin och linberedning. Som tur är har föredragen spelats in så att alla nu kan ta del av Västernorrlands lilla linskola!
Det nyttiga linet
Linets egenskaper som material. Vad lämpar det sig för och varför? Vad ska vi tänka på inför att köra igång med odling? Hur växer linet? I vilken jordmån? osv. Vi får också höra om Lisbeths eget arbete med lin.
Ångermanlands vackra lin
En inblick i linets historia i Ångermanland och Västernorrland.
Från frö till fiber
Linets uppbyggnad och de olika stegen i processen att ta fram linfibrer.
Teknikhäftet ”Om lin”
Hemslöjdens teknikhäfte ”Om lin” utkommer våren 2022. Här finns allt du behöver veta för att själv komma i gång med att odla och bereda lin. Dessutom: Betraktelser från Sveriges främsta linexperter, handfasta tips, lite skrock och förbluffande fakta.
Huvudförfattaren Eva Anderson har arbetat som länshemslöjdskonsulent i 40 år och har alltid varit nära råmaterialen och den handburna kunskapen. I sin yrkesroll har hon drivit många spännande projekt och varit medförfattare till flera böcker.
1985 startade hon Linodlarföreningen Fransåker tillsammans med andra linintresserade och hon är fortfarande en eldsjäl i föreningen.
Läs mer om teknikhäftet ”Om lin” och ta del av tillhörande litteraturlista.
Boken ”Lin – Odla, bereda spinna”
Nu finns boken ”Lin – Odla, bereda, spinna” av Bengt Sändh att läsa digitalt. Det tackar vi för!
Testa dina linkunskaper med vårt LinQuiz
Vad känner du till om lin? Testa dina kunskaper med vårt quiz! Fick du inte alla rätt? Ingen fara. Man kan göra LinQuizet om och om igen!
Timmarna närmast huden
Ulla Oscarsson ville förstå textiliers verkliga värde. Så hon odlade lin, beredde det, spann, vävde och sydde ett plagg – och mätte alla arbetsmoment på minuten. Läs artikeln ur tidningen Hemslöjd om timmarna Ulla ägnade åt att skapa sin linnesärk utifrån en förlaga ur Jämtlands läns museums gömmor.
Vi har fått tillåtelse att låsa upp denna artikel så att alla kan läsa den. Den som prenumererar på tidningen Hemslöjd kommer åt hela digitala tidningsarkivet och kan där läsa många fler intressanta och lärorika artiklar om lin, linne och dess historia.
Läs mer om projektet 1 kvm lin här.
Lyssna på ett reportage i ”Odla i P1”
I radioprogrammet Odla i P1 den 31 maj 2021 är ett reportage om projektet 1 kvm lin med, ca 13:30 in i programmet. Reportaget är inspelat i Bollnäs under linsådden med Hälsinglands linförening.